中文
/
英文
登录
/
加入收藏
上一张
下一张
首页
|
平台简介
|
管理规章
|
服务项目
|
相关报道
|
服务流程
|
细胞信息
|
培养基信息
|
联系我们
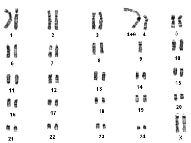
细胞图片文件名
细胞图片名称
文件类型
上传人
大小(字节)
上传时间
WB-S1-G band karyotyping-KCB.jpg
KCB-水牛皮肤细胞-WB-S1
JPG
admin
22123
2013/12/26
●
请从这里返回