中文
/
英文
登录
/
加入收藏
上一张
下一张
首页
|
平台简介
|
管理规章
|
服务项目
|
相关报道
|
服务流程
|
细胞信息
|
培养基信息
|
联系我们
细胞图片文件名
细胞图片名称
文件类型
上传人
大小(字节)
上传时间
EAG3-cell morphology-PUMC.jpg
PUMC——人子宫内膜低分化腺癌细胞;EAG3
JPG
admin
288089
2019/3/20
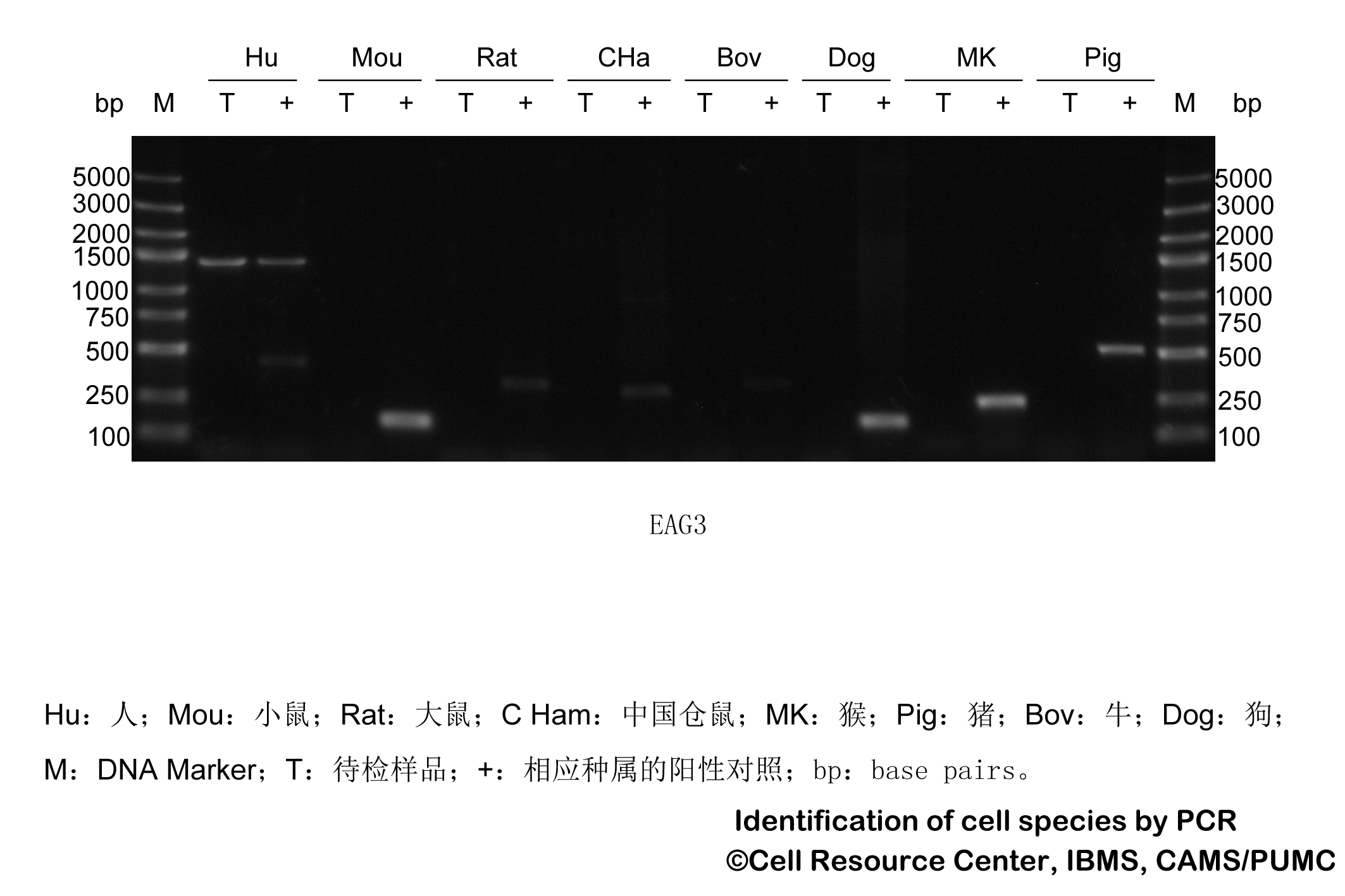
EAG3-Species Identification-PUMC.jpg
PUMC——人子宫内膜低分化腺癌细胞;EAG3
JPG
admin
704801
2019/3/25
●
请从这里返回